A new ultrasound system now integrated onto a single circuit board within the probe Handheld, wireless design, measuring six inches and weighing half a pound, with a user-friendly app leveraging modern smartphone computing power. Each probe has a built-in 5G router and a battery lasting over three hours, suitable for clinical use. It is wireless rechargeable, drop-tested, waterproof, and easy to disinfect. Visual explanations enhance client experience, leading to increased billable services, referrals, and requests for scans.

the EDGE probe

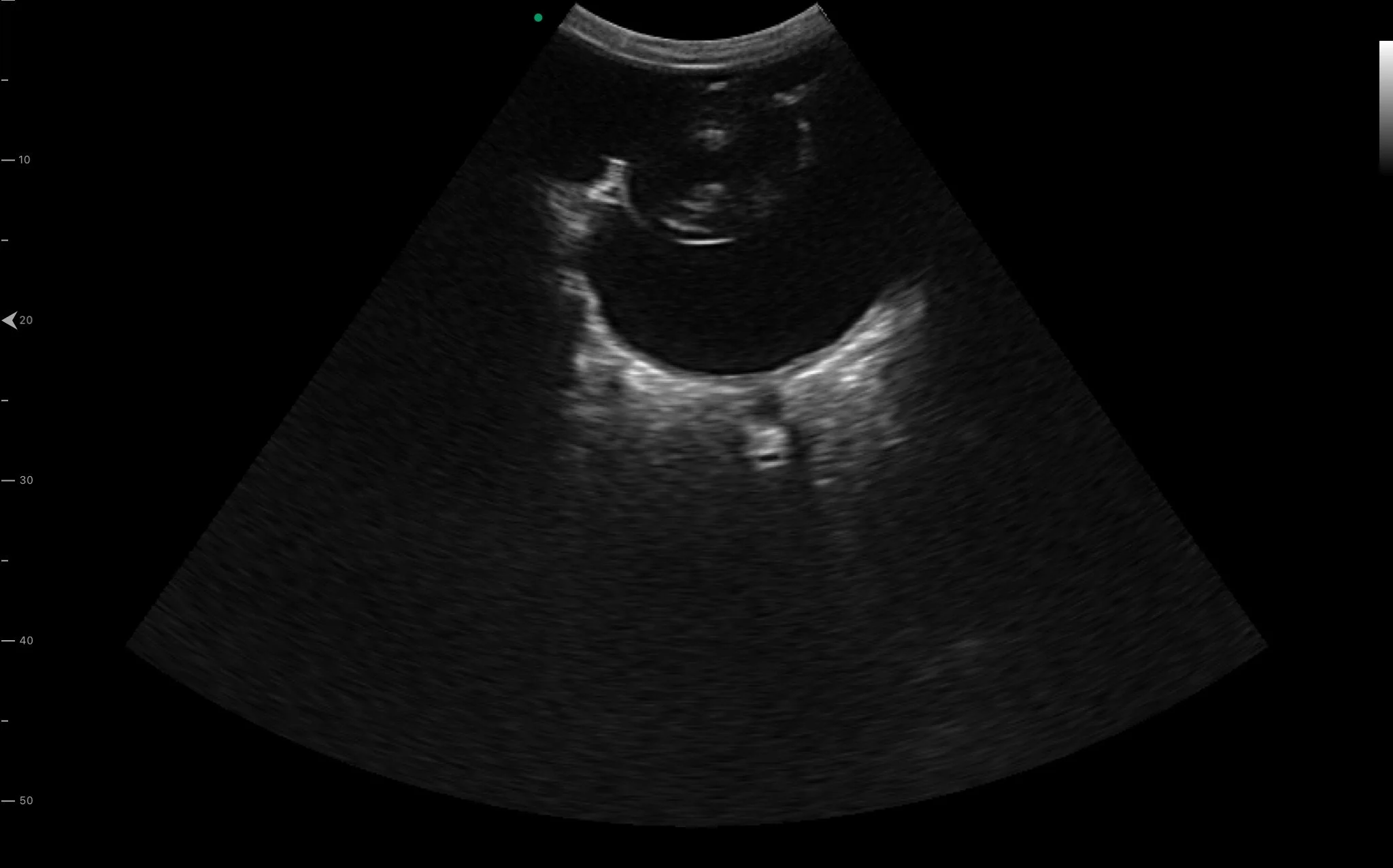
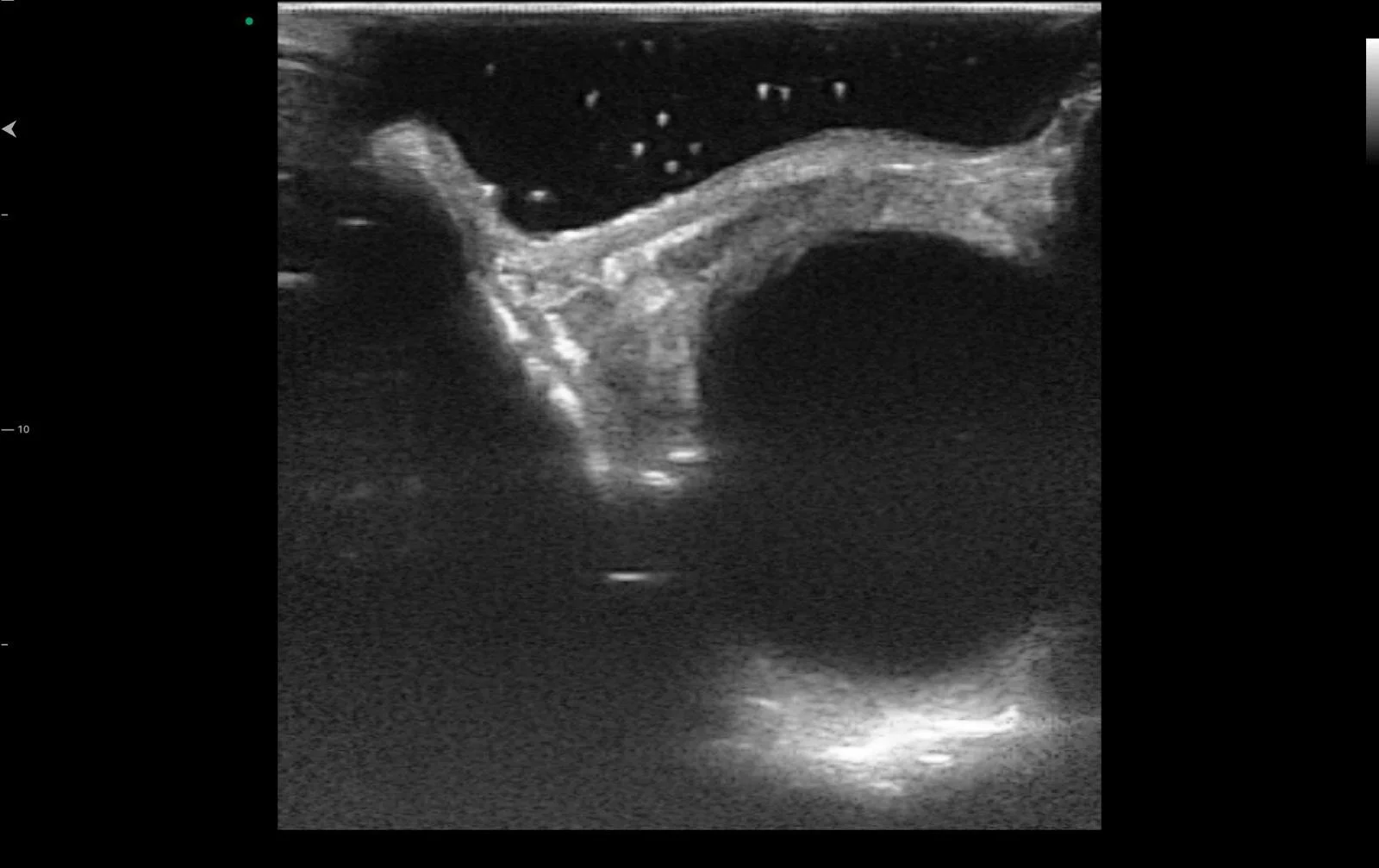
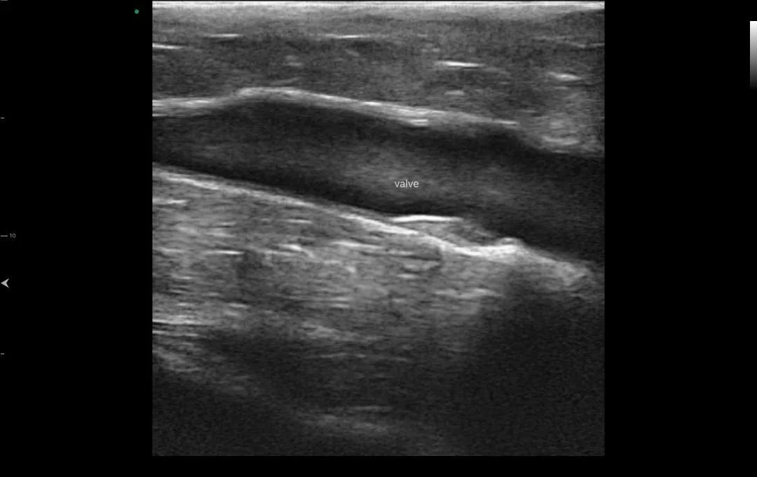
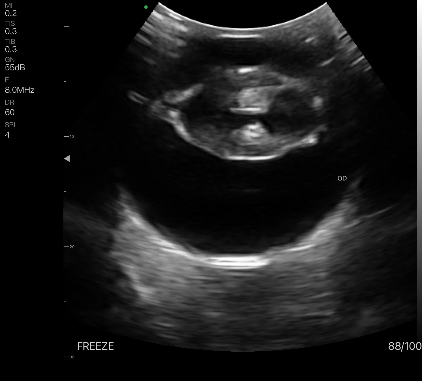
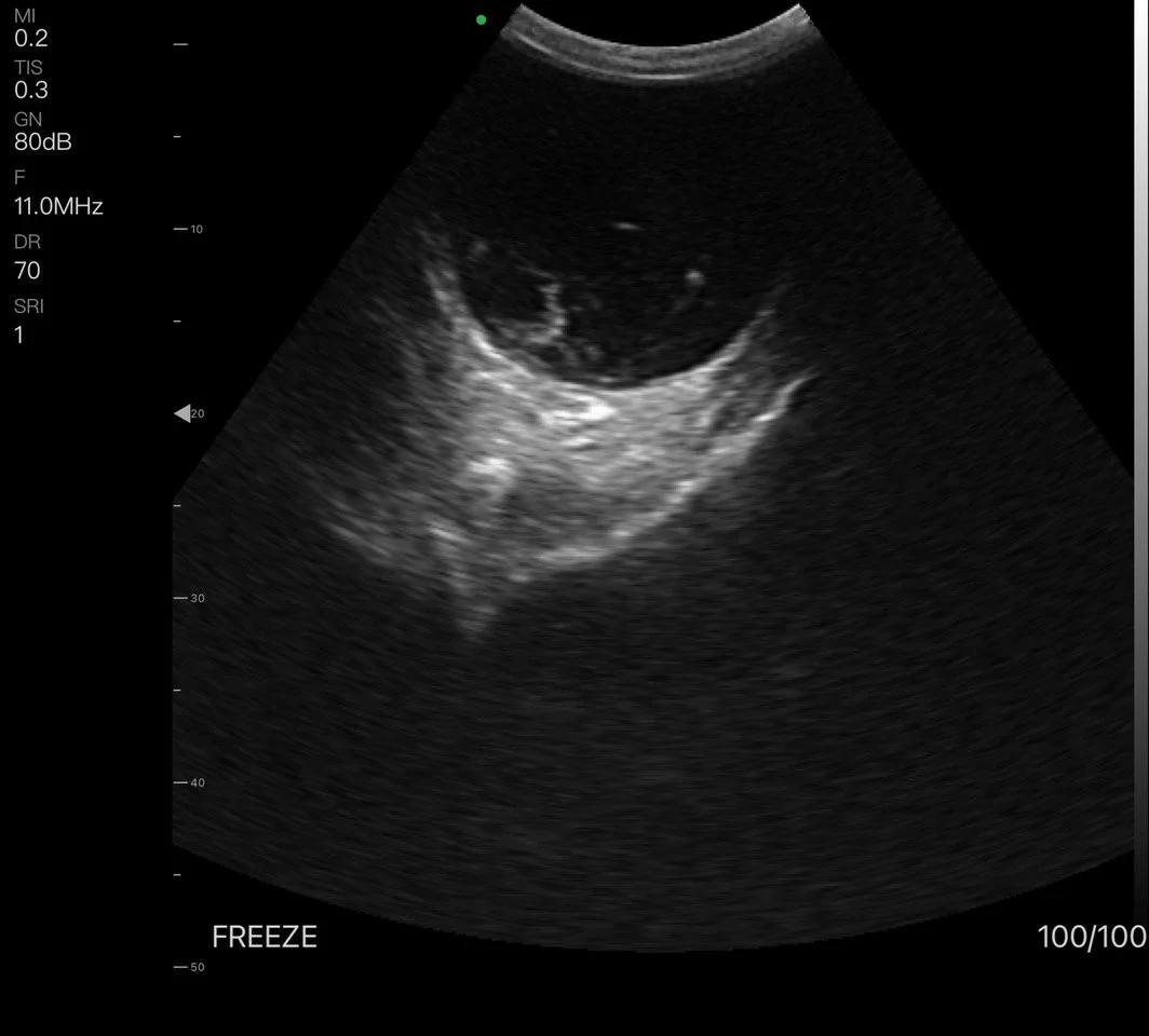
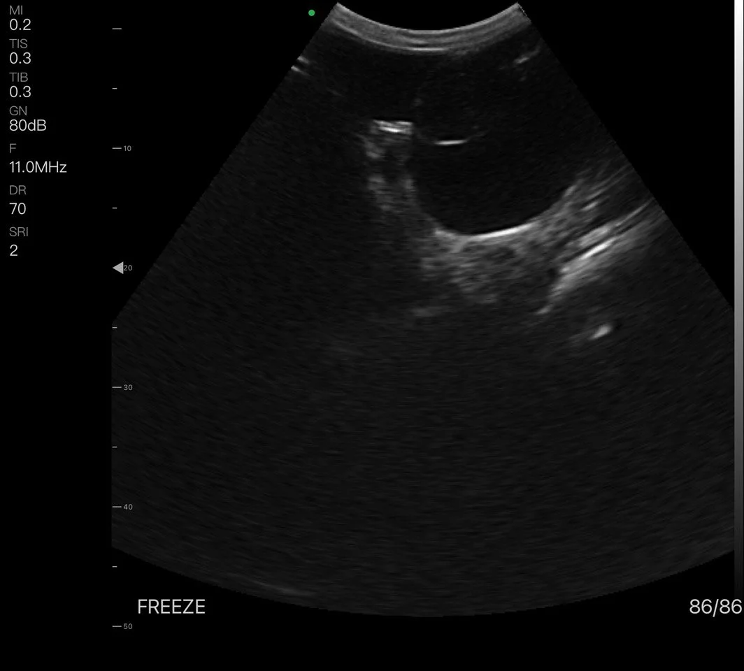
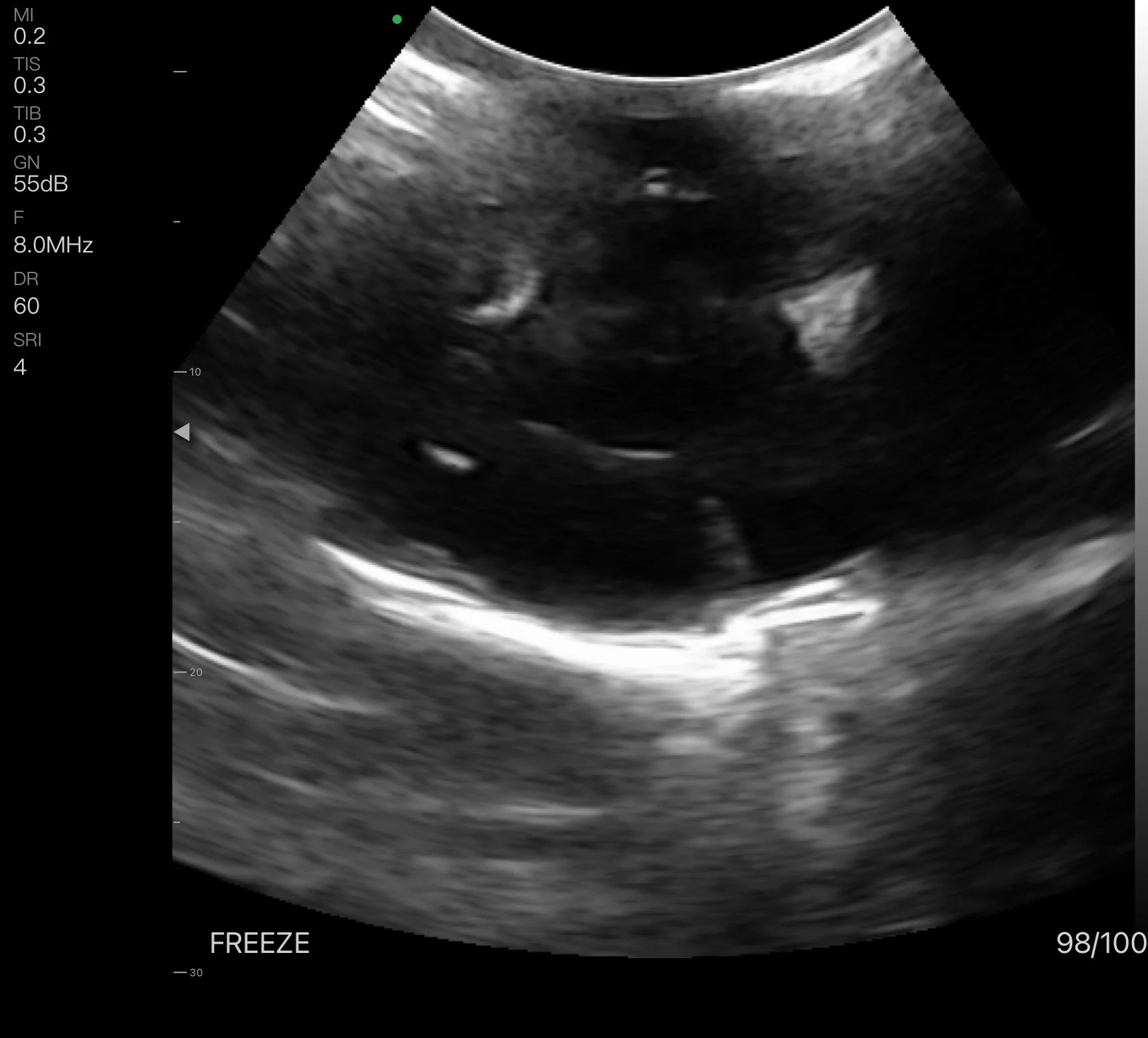
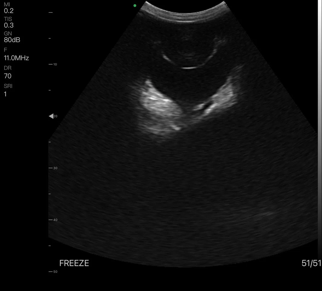
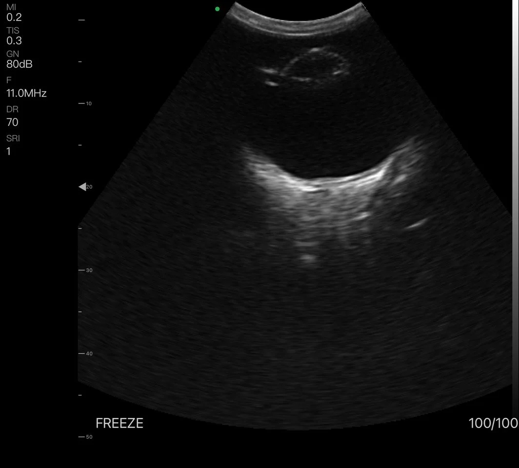
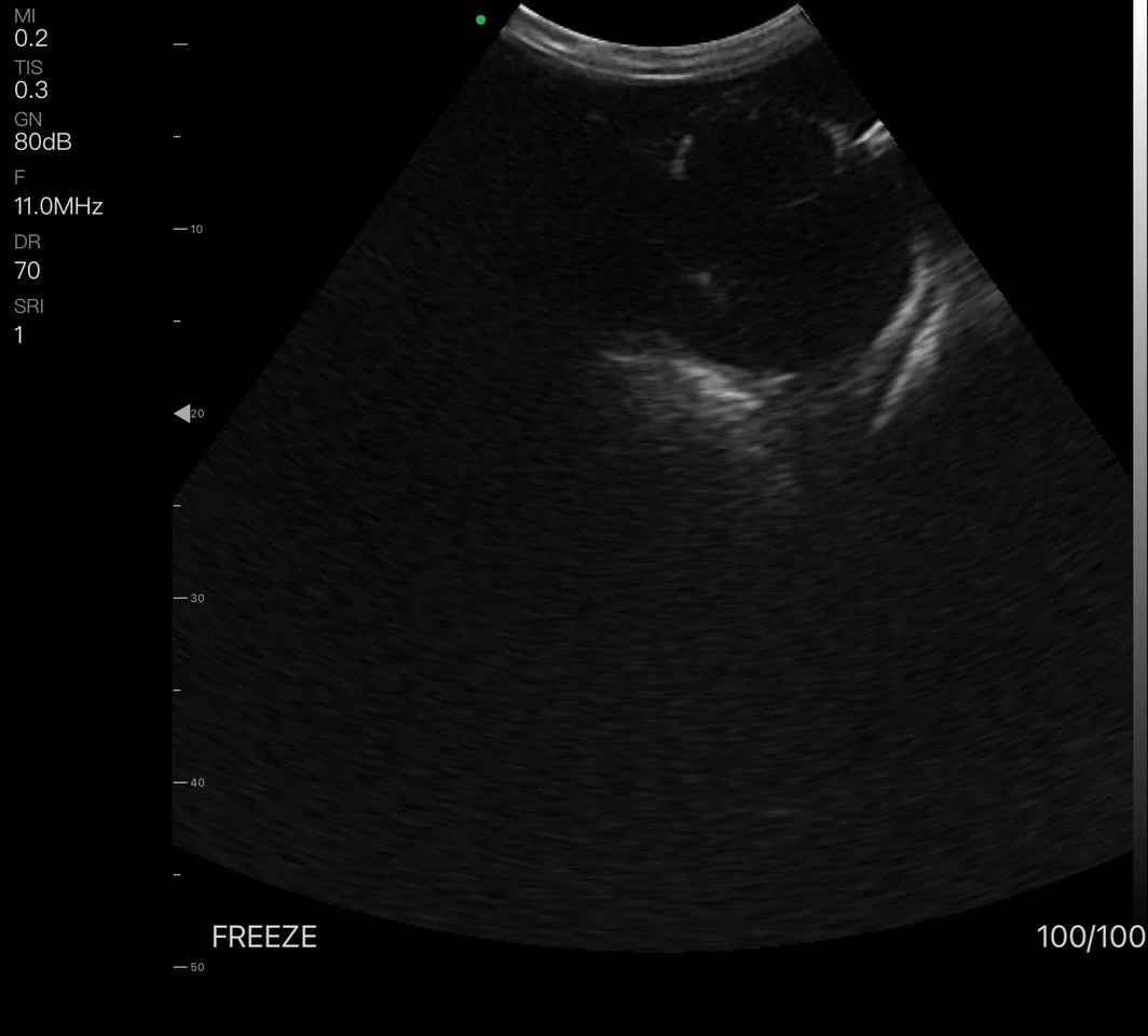
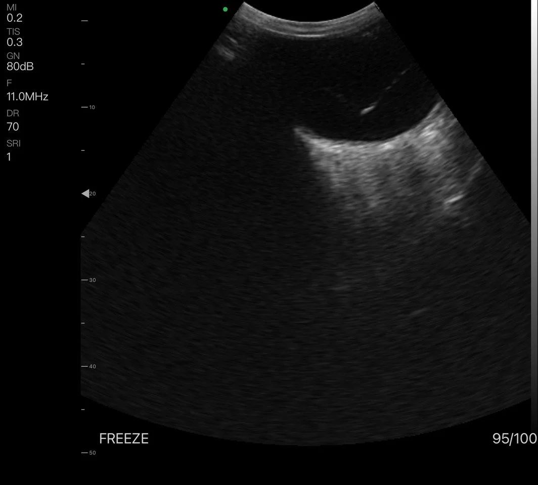
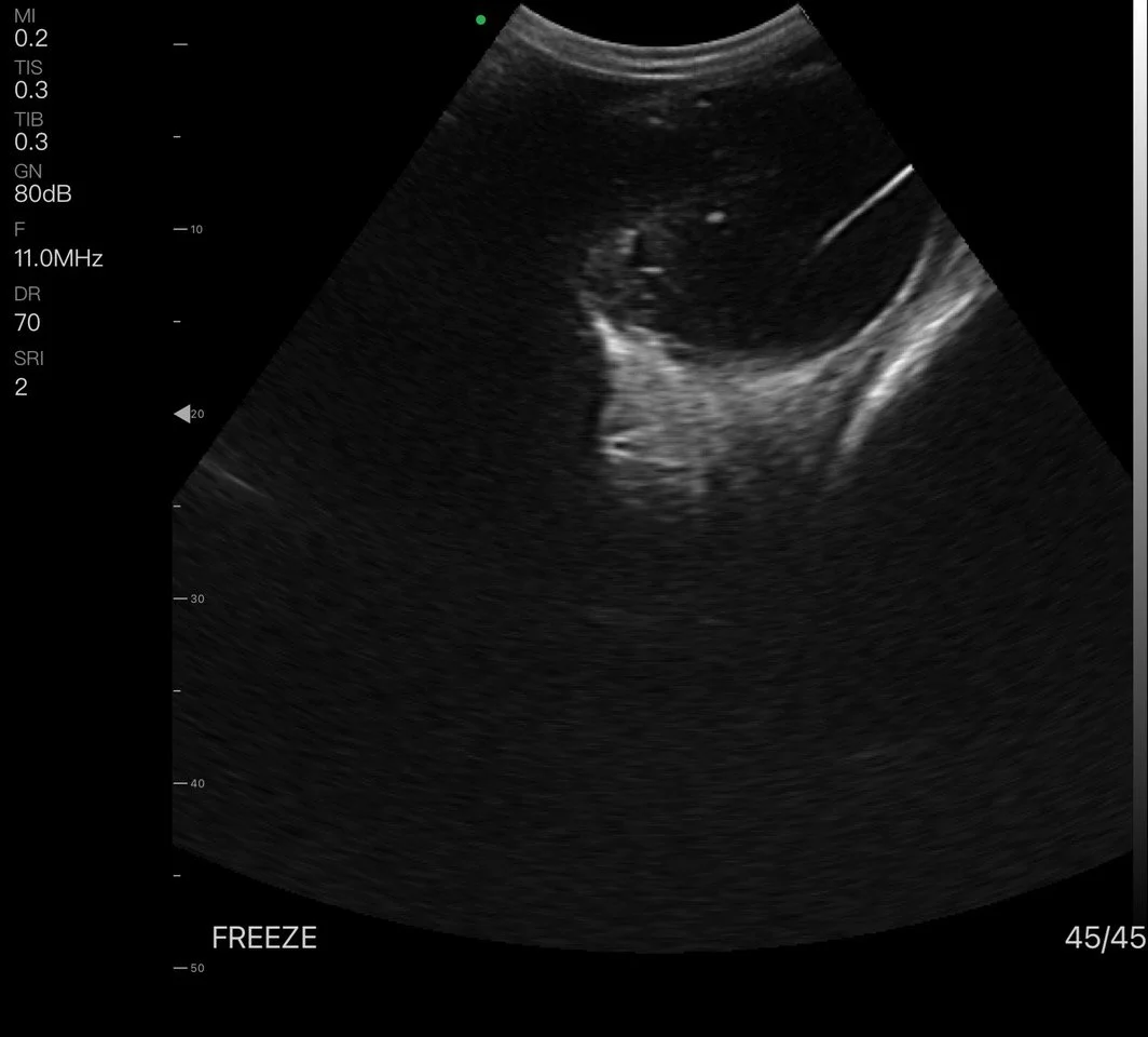
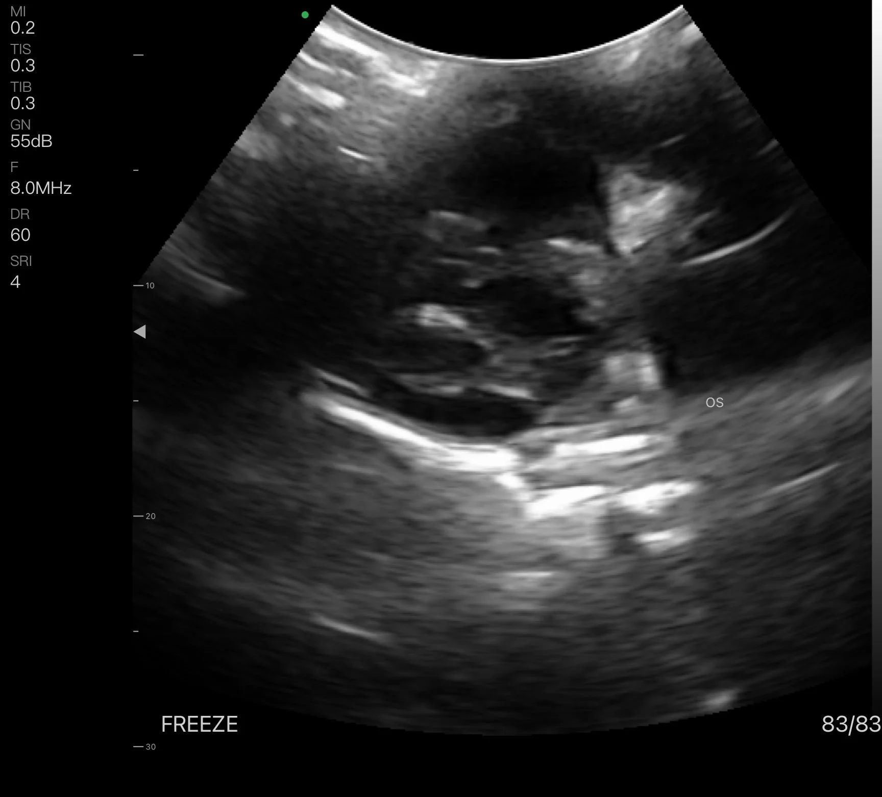
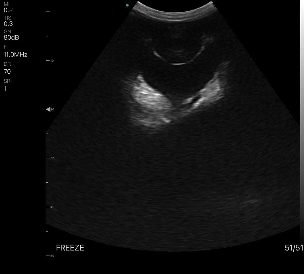
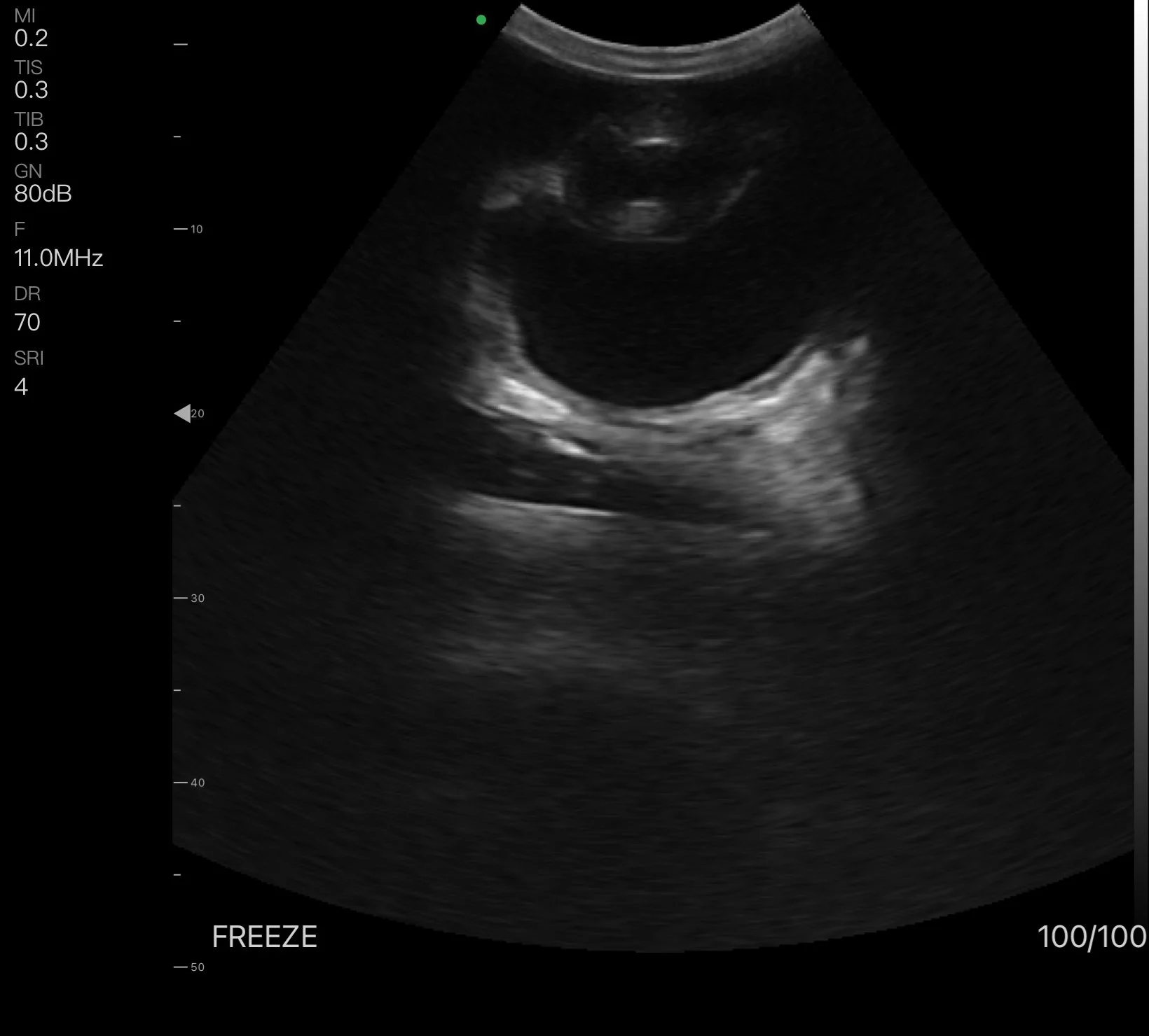
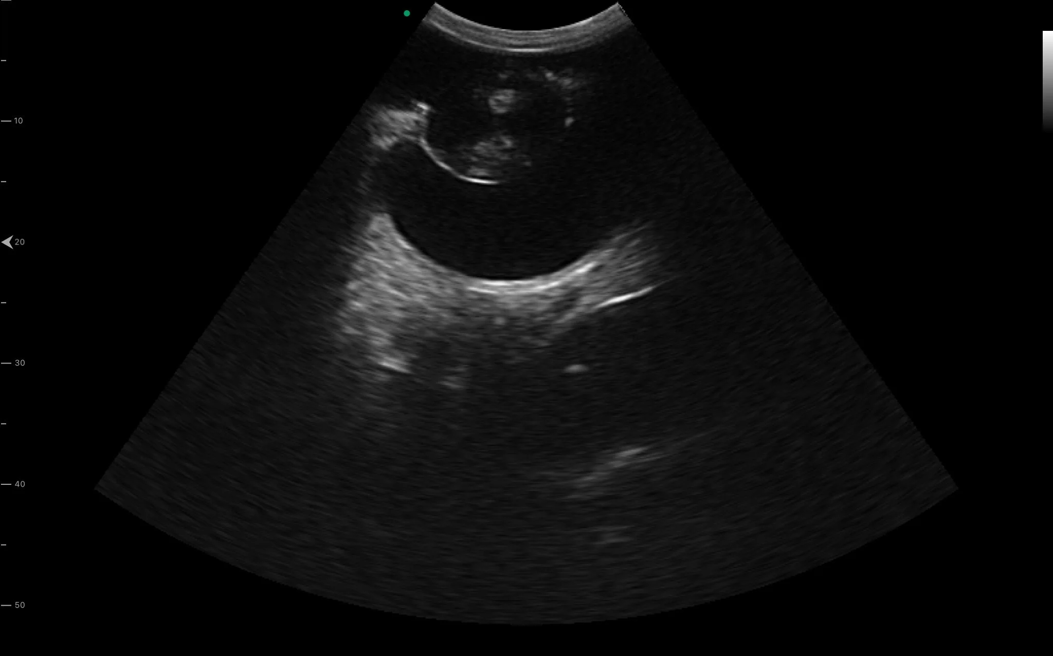
MicroConvex
MC 811

Scanning modes:
B,B/M, Color, PW, PDI

Weight: 150g

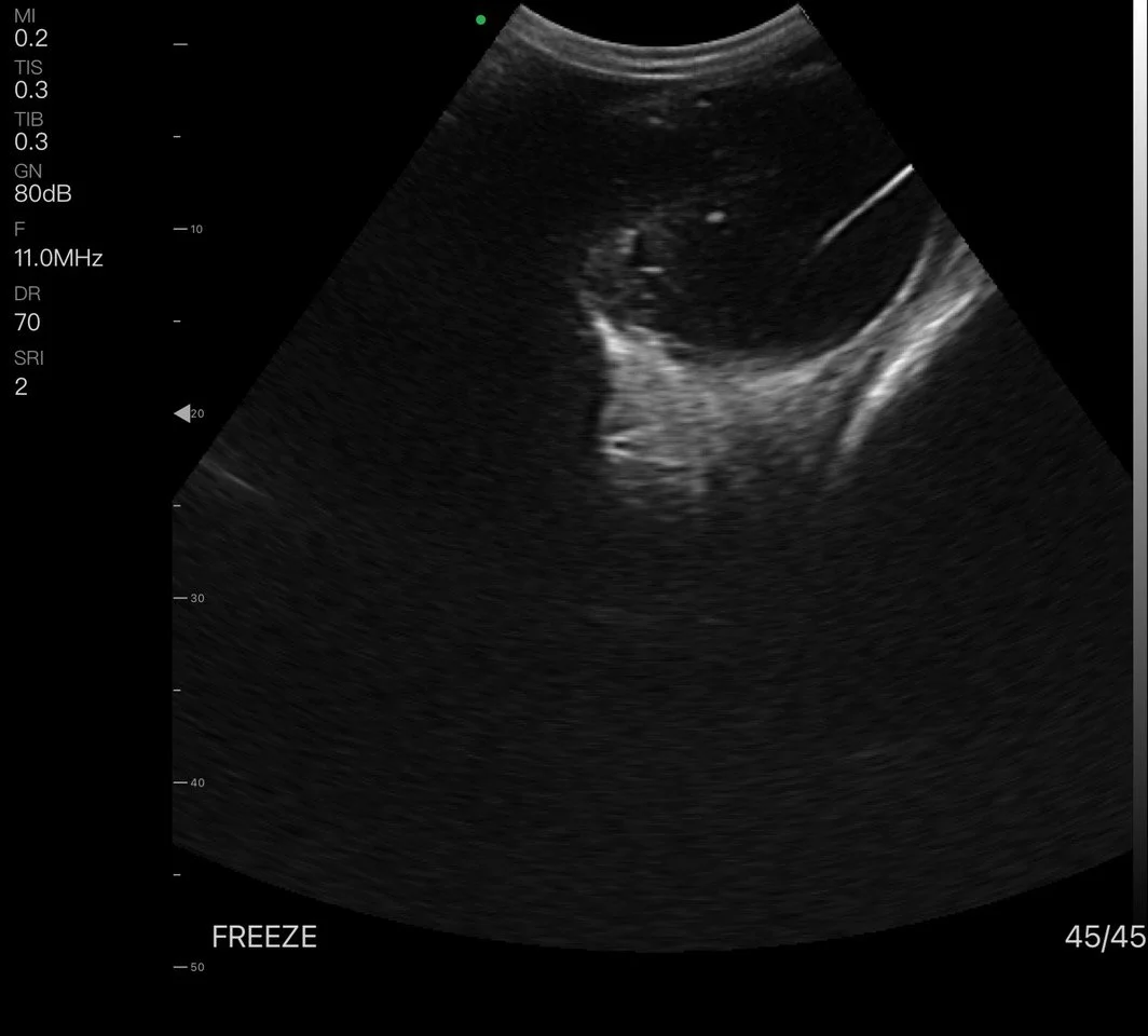
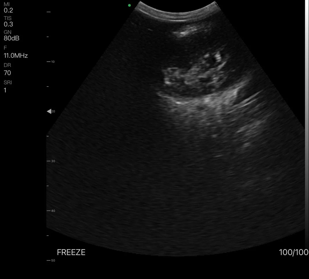
Frequency: 8/11.0MHz

Depth: 20-80 mm

Image Optimization: Gain, Depth, Focal Zone(s),Dynamic Range, Frequency, Speckle Filter, Time Gain Compensation

Measure: Length, Area, Trace, Angle, blood flow velocity ,S/D Ratio

Image frame rate: 20f/s

Cine-loop: 20-1000 FRAMES Battery: 1.5 hours

Operating system: iOS/Android

WIRELESS.

WATERPROOF.

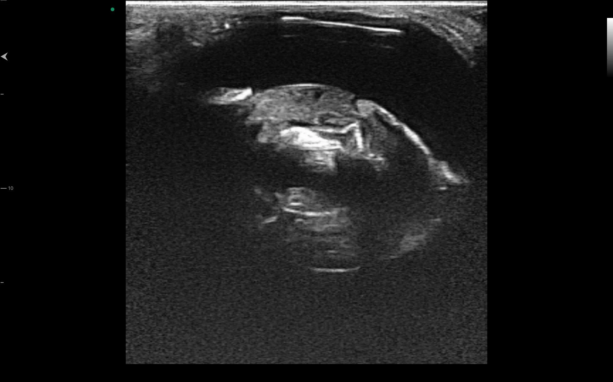
Display Model:
B, B/M, Color, PW, PDI

Linear head: 20 mm footprint

Scan depth: 10/20/30/40 mm

Weight: 180g

Frequency: 16/20 MHz Linear

Field of View: 40

Gain: 40-105

Gray Scale: 256, SRI: 0/1/2/3

Image frame rate: 20f/s Image Format: JPG,MP4,DICOM

Battery: 1.5 hours

Operating system: iOS

POWERFUL.

MicroLinear
MC 1612

Download Brochure